TSV Implants are designed for use in the maxilla or mandible for immediate loading or for loading after a conventional healing period. Implants may be used to replace one or more missing teeth. Immediate loading is indicated when there is good primary stability and an appropriate occlusal load.
 
            
        
    
    
    
Tapered Screw-Vent® (TSV) Dental Implant System
A Legacy Of Performance

With 20 years of clinical use and over six million implants sold,
the Tapered Screw-Vent (TSV) Implant has gained the trust of thousands of surgeons worldwide to deliver successful patient outcomes.
This success is well documented with 130 peer-reviewed papers1 and a 98.7% cumulative survival rate.1-14
Primary stability achieved by using Tapered Screw-Vent Implants enables immediate placement and/or immediate loading in appropriately selected patients.2, 7, 15
TSV Dental Implant System Benefits
Experience the confidence provided by a history of success.
 
            
        
    
    
    
The TSV Implant System is celebrated for its performance, having been designed to provide:
- Primary Stability7, 15, 18-20
- Secondary Stability2-14, 16, 17
- Crestal Bone Maintenance21-28
- Prosthetic Stability21, 22, 29
- Clinical Success2-14, 27, 28
TSV Dental Implant System Features
Screw-Vent Design
Apical cutting threads designed for immediate cutting impact.
Tapered Implant Body
Designed for primary stability, the tapered titanium alloy body provides strength for reliable function.1* (Model TSVT, shown)
MTX® Surface for Ongrowth
The MTX Microtextured Surface has been documented to achieve high levels of bone-to-implant contact or ongrowth.16, 17
High Osteoconductive Potential
ZimVie’s MP-1® HA coating with up to 97% crystalline HA content is significantly higher than other commercial HA coatings.1, 30
Platform Plus™ Technology
The proprietary internal hex connection, utilized with ZimVie Dental’s Friction-Fit with Abutments, has been documented to shield crestal bone from concentrated occlusal forces.21, 22
Crestal Options for Bone-Level Maintenance
1.0 mm Machined Collar (Model TSV), 0.5 mm Machined with MTX Crestal Microgrooves (Model TSVM), and Full MTX Microtexturing with MTX Crestal Microgrooves (Model TSVT)
Configurations available on select implants are shown below
 
            
        
    
    
    
 
            
        
    
    
    
 
            
        
    
    
    
TSV Dental Implant System Advantages
Documented 98.7% implant survival rate mean1-14
Prospective data on 1,553 TSV MTX Implants (mean 36 month follow up)
 
            
        
    
    
    
Documented Clinical Success
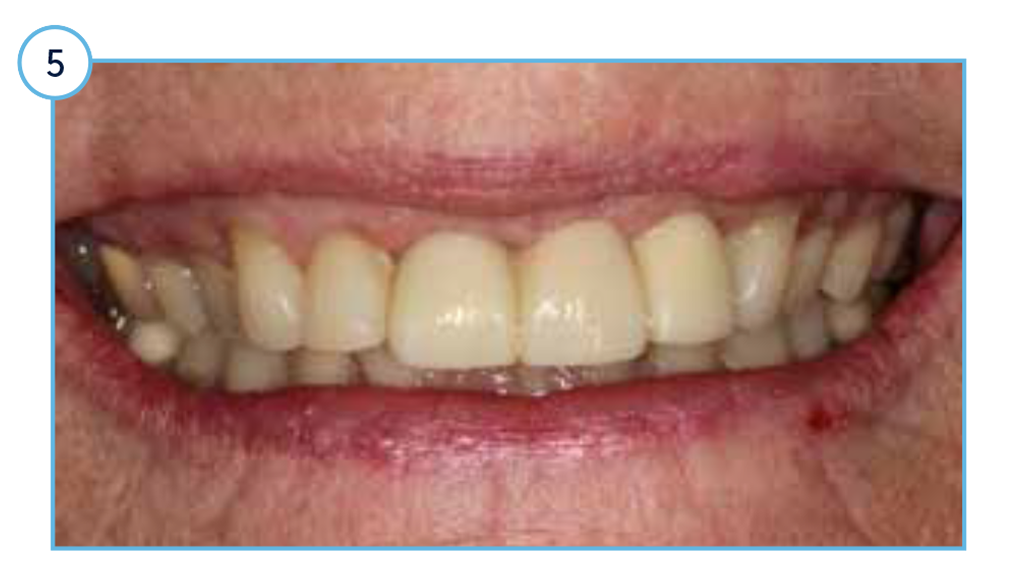
Case Study: Immediate Placement of TSVT Dental Implants
 
            
        
    
    
    
Preoperative clinical view of the incisor extraction sockets.
 
            
        
    
    
    
TSVT Implants (4.1 mm x 16 mm) with attached fixture mounts threaded into the prepared extraction sockets.
 
            
        
    
    
    
Radiographic view at the time of placement with surgical cover screws attached.
 
            
        
    
    
    
One-year post-placement radiograph with stable marginal bone levels around TSVT implants.
 
            
        
    
    
    
Clinical view of the aesthetic outcome one-year post restoration.
Implant Insertion Torque
Histologic and Biomechanical Evaluation of the Effects of Implant Insertion Torque on Peri-Implant Bone Healing5
Immediate Loading
Immediate Placement and Provisionalization of Implant-Supported, Single-Tooth Restorations: A Retrospective Study2
Primary Stability
Soft-Bone Protocol - Advancements in Soft-Bone Implant Stability1
 
            
        
    
    
    
 
            
        
    
    
    
